Az arteriosclerosis generalizált érbetegség, de egyes verőérszakaszokon eltérő súlyossággal jelentkezhet. Speciális, ritka megjelenési formája az aorta atheromás fekélyképződése, ami hajlamosít subintimalis bevérzésre, dissectiora, álaneurysma képződésre és rupturára ( Acut Aorta Syndroma). 10 212 szív-érrendszeri betegség miatt operált betegünk közül 18 esetben találtunk penetráló ulcust a thoracalis aorta különbözö szakaszain: az aorta ascendensen, az aorta íven, az aorta descendensen és a throracoabdominalis aortán. A kialakult elváltozásokat több esetben egyéb társbetegségek súlyosbították. 8 beteg tünetekkel, 10 tünetmentes állapotban került felfedezésre. A lokalizációtól függően megválasztott nyitott (4), hybrid (7) és endovascularis (7) beavatkozásokat végeztünk. A korai postoperatív szakban egy beteget veszítettünk el. Két betegünk esetében az aneurysma zsák endograft körüli telődése miatt nyitott műtét vált szükségessé, amelyek után a betegek zavartalanul gyógyultak. Tapasztalataink szerint e veszélyes kórkép időben felfedezve a rendelkezésre álló technikai lehetőségekkel jó eredménnyel kezelhető.
Érbetegségek: 2025/2. 41-46. oldal
Rövidítések jegyzéke: AAS=acut aorta syndroma, CTA= CT angiographia, DSA=digitalis subtractios angiographia, IVUS=intravenás ultrahang, MR=mágneses rezonantia, PAU=penetráló aorta ulcus, TEE=tranoesophagealis echocardiographia
Bevezetés
Az acut aorta syndromát több kórforma okozhatja. A mellkasi, háti fájdalommal járó tünetegyüttes hátterében a mellkasi aorta aneurysma expansioja, rupturája, subintimalis bevérzése, dissectioja és penetráló atheromás ulcusának progressioja állhat. Penetráló atheromás fekély az aortafalon saccularis álaneurysma képződéshez vezet, ami sokáig tünetmentes lehet de a környezet compressioja, usuratioja vagy az aortafal megrepedése révén tünetet okozhat (AAS). Utóbbi gyors beavatkozás nélkül halálhoz vezethet. E ritka, súlyos kórkép kezelésével szerzett tapasztalatainkat ismertetjük (1. ábra).

1. ábra.
A penetráló aorta fekély (PAU) pathologiai következményei.
PAU - Penetráló aorta ulcus. IMH - Intramuralis haematoma.
Beteganyag
Osztályunk megalakítása, 2007 július 1. és 2012 október 31. között 10 212 műtétet végeztünk a szív és érrendszeren. E beavatkozások között 584 beteget operáltunk aneurysma miatt, 254 esetben az aorta thoracalis, thoracoabdominalis szakaszán. 146 esetben dissectio adta a műtéti javallatot. E beteganyagban 18 esetben észleltünk penetráló atheromás ulcust a thoracalis aortán.
A 18 betegből 6 nő és 12 férfi volt. Az életkor 24 és 75 év között váltakozott, a medián érték 65,7 év volt. A penetráló ulcus 10 esetben tünetmentes volt, véletlenszerűen került felfedezésre rutin mellkas röntgenvizsgálat során. 8 beteg mellkasi, 3 háti, 2 felhasi fájdalom, 3 lázas állapot miatt került részletes vizsgálatra. A kórkép pontos diagnosisának felállításában minden esetben CT angiographiát (CTA) és öt betegnél digitalis subtractiós angiographiát (DSA) is végeztünk a mellékágak morfologiai viszonyainak pontosítására (1. Táblázat).

1.Táblázat.
Penetráló arterioscleroticus aorta fekéllyel (PAU) diagnosztizált betegeink.
Egy férfibetegünk 6 évvel korábban hasi aorta aneurysma miatt esett át műtéten, és 2 éve masszív tüdőembolia miatt kezelték, légzésfunkciója jelentősen beszűkült. Egy betegnél a PAU mellett nem stenotisáló colon carcinomát találtunk. Mindkét beteg fedett ruptura állapotában került osztályunkra. Egy nőbetegünk Hepatitis B vírushordozó volt. A PAU okozta álaneurysma 13 betegünkben singularis, 5 esetünkben multiplex elváltozásként jelentkezett.
Az aorta ascendensen lévő PAU esetében az ascendens pótlását nyitott aorto-aorticus interpositioval oldottuk meg (2. ábra). Az aortaív hybrid műtéteinél az aortaív görbületét jól követő Gore Tag® graftot alkalmaztunk. 2 esetben a proximalis rögzítési zóna az aorta ascendens (landing zone 0), 2 esetben az anonyma és a bal carotis communis között (landing zone I) és 4 további betegnél a bal a. carotis communis és bal a. subclavia között (landing zone II) volt. Egy esetben a bal a. subclavia szájadékát transpositio nélkül lefedtük, amit a jó jobb oldali vertebralis keringés tett lehetővé. A postoperatív szakban a bal karon funkcionális panaszok nem jelentkeztek. A thoracalis aortán a proximalis rögzítési (landing) zónákat 4. Táblázatunk mutatja. Az aorta descendens álaneurysmáit transfemoralisan [6] illeve az a. iliaca communison [1] át felvezetett Medtronic Valiant Captivia® endografttal fedtük le. A distalis aorta descendens, thoracoabdominalis szakaszán egy esetben folt plasticát, egyben inlay interpositiot végeztünk nyitott beavatkozásként. Műtéti megoldásainkat a 2. Táblázatunkon foglaltuk össze.

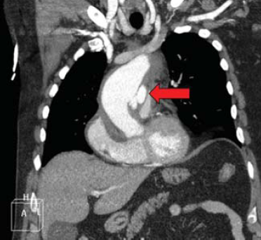
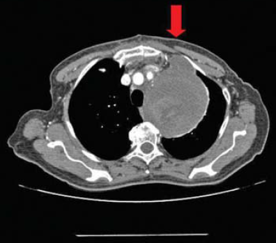
2. ábra.
PAU az aorta ascendensen.

2. Táblázat.
Műtéti megoldásaink.
Eredmények
A korai postoperatív szakban, a tünetekkel felvettek közül 1 beteget veszítettünk el. A tüdőtályoggal, chronicus pancreatitissel kezelt, leromlott beteg a fedett thoracalis aorta ruptura stentgraft kezelése után 3 nappal gyomor perforatio következtében halt meg. Egy betegünknél teljes debranching után a stentgraft zero ponton történt rögzítése során mikroembolisatio keletkezett a jobb a. cerebri media területén, akinek átmeneti neurologiai tünetei maradéktalanul megszűntek. Egy betegnél bal subclaviocaroticus transpositio után végeztük a stentgraft implantatiot centralisan a II. rögzítési zónában, a mellkasfalon csaknem áttört distalis aortaív álaneurysma miatt. Az aortaív belfelszínét vékony alvadékréteg fedte. A betegnél az implantatio során maradandó, csak részben oldódó vakság alakult ki a jobb szemen az occipitalis lebeny hypoperfusioja miatt. Átmeneti tenebrositasa mintegy 2 hét alatt szünt meg.

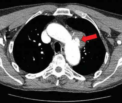
3. ábra.
PAU a proximalis aortaív hátsó felszínén.
Betegeinket egy héttel, 3 hónappal, 6 hónappal majd évente, fizikalis vizsgálattal és CT angiographiával utánkövettük.
A késői eredmények 12 és 68 hónap között, átlagosan 38 hónap után kerültek felmérésre.
Az egyik szemére megvakult nőbetegnél extraperitonealis iliaca feltárás hegében hasfali sérv képződött, ami hasfali reconstructiot igényelt. A hepatitis vírushordozó nőbetegnél 18 hónappal a stentgraft beültetése után az aneurysma zsák lassú, kisfokú növekedését észleltük, benne kis kontrasztanyag halmozódással. A thrombocyta aggregatio megszüntetése után 3 hónappal nyitott intercostalis ágakból további telődést –"endoleak"- et, lassú, további expansiot igazoltunk. Ismételt CTA után döntöttünk újabb, nyitott beavatkozásról. Egy férfibeteg 90 mm átmérőjű distalis aortaív álaneuryma miatt került bal a. subclavia transpositiora, illetve stentgraft beültetésre. A beültetés során az aortaív durva mészfelrakódása ék alakú benyomatot képezett a grafton, ami ballonos tágítást tett szükségessé. A friss angiographia nem mutatott endoleaket. A sorozatos CTA ellenőrzés 8 hónappal a beültetés után az aneurysma lassú növekedését mutatta és az említett meszes carina szintjén kicsiny, II-es típusú áteresztést igazolt. A vizsgálat a graft fémvázának törését mutatta. A beteg thrombocyta aggregatio gátló kezelését megszüntettük, remélve az endoleak spontán záródását. A beteget újabb ellenőrzésre visszarendeltük, de nem jelentkezett. 3 hónap múlva a nyak bal oldalán áttört, alvadékkal elzárt sipollyal került ismét látóterünkbe, ami a friss CTA szerint a jelentősen megnövekedett, mintegy 12 cm átmérőjű álaneurysmára vezetett. Azonnal műtétre vittük, amelynek során a femorofemoralis bypass és moderalt hypothermia védelmében az endograftot eltávolítottuk, a hatalmas alvadék tömeget kiemeltük és aorto-aorticus graft interpositiot végeztük. A beteg zavartalanul gyógyult, nyaki sipolya záródott. Ismételt ellenőrzésre 5 hónap múlva panaszmentesen jelentkezett.
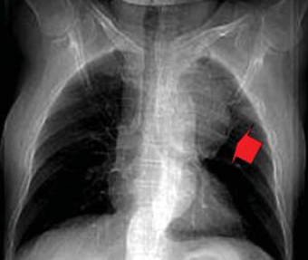
alt="A mellkasi aorta penetráló atheromás ulcusa" title="A mellkasi aorta penetráló atheromás ulcusa"

4. ábra.
PAU az aortaíven.

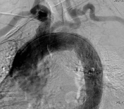
5. ábra.
Aortaív stentgaft váztörés okozta endoleak.
Megbeszélés
A penetráló atheroscleroticus fekély (PAU) első leírása 1920-ból, Krukenbergtől származik, aki boncolás során észlelte azt [1]. Az elváltozás az aortafal focalis atheroscleroticus plaque okozta intima, membrana elastica interna, továbbá media átfúródása miatt alakul ki, először intramuralis haematomát esetleg dissectiot okoz. A folyamat elérve az adventitiát álaneurysma képződéshez, majd rupturához vezet. A PAU tüneteket okozó következményei az acut aorta syndroma (AAS) klinikai képét alkotják [2]. A betegség első sorban az idősebb korosztályt érinti (> 60 év) - túlnyomóan férfiakon fordul elő. Predisponáló és kísérő tényezők: hypertonia (85%), dohányzás (72%), coronaria betegség (61%), hyperlipoproteinaemia (35%) diabetes mellitus (31%) és renalis elégtelenség (31%). Gyakori társbetegség a peripheriás verőérbetegség (17%), mellkasi és/ vagy hasi aneurysma (53%) [3]

6. ábra.
III típusú endoleak miatt kialakult hatalmas álaneurysma az aortaíven.

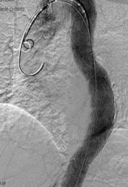
7. ábra.
III típusú endoleak után kialakult álaneurysma miatt nyitott stentgraft altávolítás és aortoaorticus graft interpositio utáni kontroll angiogram.
Jól látható a bal subclavio-caroticus transpositio.
Localisatio tekintetében az esetek túlnyomó többsége a mellkasi aortán jelentkezik (80%), főként az aorta descendensen. Az aorta ascendensen a PAU ritka, az aortaíven a mellkasi esetek 13.3%-ában fordult elő [4]. A diagnosztika folyamatos javulása mellett az aorta abdominalison is egyre több eset kerül felismerésre [2,5].
A PAU pathologiai manifestatioja tünetmentes állapotban az aorta rövid szakaszát érintő, kis intramuralis haematoma, intramuralis kontrasztanyag depo vagy kis saccularis pseudoaneurysma formájában - többnyire véletlenszerűen, mellékleletként kerül felismerésre.
Lehman és mtsai 395 beteget kiértékelő multicentrikus tanulmányában a véletlenszerűen felismert esetek számát 177 (44.8%)–ben állapították meg [6]. Az acut aorta syndroma (AAS) hátterében mintegy 10-15 százalékban PAU áll. Ennek pathologiai formái az acut intramuralis haematoma, feszülő álaneurysma, dissectio illetve ruptura. Klinikai tünetei a mellkasi- illetve hátfájdalom, esetleg láz. Ruptura esetén a vérzés betörhet a mellüregbe, a nyelőcsőbe vagy a tracheobronchialis rendszerbe [2,7].

3. Táblázat.
Szövődményeink.

4. Táblázat.
Endograft proximalis rögzítési zónák a thoracalis aortán (Ishimaru).
A kórkép felismerése tünetmentes állapotban véletlenszerű, jelenlétére mellkas átvilágítás során a mediastinum kiszélesedése, egyenetlen kontúrja hívja fel a figyelmet. Lényegesen nagyobb találati biztonsággal ad információt a sokszeletes CT vagy MR, esetleg DSA. Egyes esetekben a transoesophagealis echocardiographia (TEE) illetve IVUS (intravascularis ultrahang) szolgáltatja a diagnosist. A DSA változatlanul értékes eszköz a mellékágak morfológiai viszonyainak tisztázásában [3,4,8].
A PAU okozta elváltozások többnyire többszörösek, de a tünetképző vagy megrepedt elváltozás rendszerint singularis. Gyakorta elongált aortán figyelhető meg, amelynek egyenetlen belfelszínét kiterjedt szakaszon körkörös alvadék köpeny fedi (shaggy aorta).

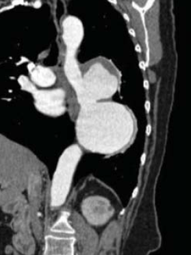
8. ábra.
PAU a distalis aortaíven. Az álaneurysma csaknem perforálja a mellkasfalat.

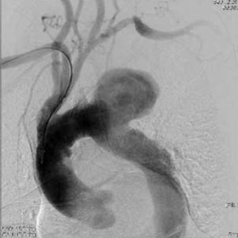
9. ábra.
A 7. képen látható eset angiogramja.
A PAU talaján kialakuló dissectio ritkábban terjed a nagy mellékágak szájadékára, mint más erdetű, vagyis scleroticus, vagy geneticus érfalgyengeség okozta dissectioknál. A kórkép kezelését jelentősen befolyásolja a klinikai kép, a lokalizáció és a morfológiai megjelenés. Tünetmentes esetben véletlenszerűen felfedezett elváltozás nem feltétlenül indokol azonnali sebészi beavatkozást. Tensio beállítás, thrombocyta aggregatio gátlás mellett megnyújtható a tünetmentes állapot, illetve rendszeres képalkotó diagnosztika segítségével még az AAS megjelenése előtt, időben felismerhető a betegség progressziója [3,9,10]. Tünetek kialakulása, azok fenyegető dinamizmusa gyors diagnosztikát és kezelést tesz szükségessé. Mivel az aortafal defektusa PAU esetében rövid szakaszra terjed, az új technikák, az endograft kezelés folyamatos térhódítása figyelhető meg [4,11].
Az aorta ascendensen kialakult PAU a billentyű felfüggesztés, illetve a coronaria szájadékok közelsége miatt, az estek többségében hagyományos nyitott graft interpositiot tesz szükségessé, cardiopulmonalis bypass és hypothermia alkalmazásával, miként azt 2 esetünkben végeztük. Egyes esetekben - ha a penetratio a sinotubularis junctio felett, kellő hosszúságú rögzítési szakaszt (landing zónát) kínál - endograft behelyezése transfemoralis, transapicalis vagy transcaroticus úton is elvégezhető [12].
Az aortaív PAU okozta elváltozásai az Ishimaru által meghatározott landing zónák (4. Táblázat) szerint, elhelyezkedéstől függően más és más kiterjedésben, a supraaorticus ágak áthelyezését (debranching) indokolják endograft behelyezése előtt [12,13]. A nyitott sebészi és endovascualris bevatkozások kombinációit hybrid műtéteknek nevezzük, amelyek egy ülésben illetve külön végezhetők. Gyakorlatunkban az utóbbi megoldást részesítjük előnyben.

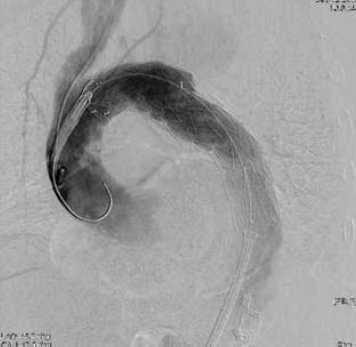
10. ábra.
A 7. és 8. képen látható elváltozás stentgraft beültetése.
A proximalis aortaív átépítése, az arteria anonyma és bal carotis communis pótlása, korábban transsternalisan, az aorta ascendensről induló elágazó graft beültetését indokolta, manapság azonban a sandwich technikák tisztán endovascularis reconstructiot is lehetővé tesznek [14,15]. Az aortaív középső és distalis ágainak átépítése extrathoracalis úton - intercaroticus áthidalással, vagy subclavio-caroticus transpositioval megoldható, megfelelő rögzítési zóna kialakítására. Az e x t r a t h o r a c a l i s áthidalás a bal a. subclaviáról indítva retrograd áramlás biztosításával lehetővé teszi a 0 zónában az endograft rögzítését [16,17]. A bal arteria subclavia kiváltása a II-es és III-as rögzítési zóna biztosítására opcionális. Nem elkerülhető, ha a jobb arteria vertebralis hypoplasiás, szűkült vagy elzáródott. A bal a. subclavia lefedése ritkán okozhat kar vagy gerincvelő keringési zavart, ami az a. vertebralis keringésének gondos kiértékelésével elkerülhető [18]. Az aortaívet érintő eseteinkben ezen elvek alapján került sor az aortaív ágainak átépítésére.

11. ábra.
Kettős PAU okozta aneurysma az aorta descendensen.
Az aortaíven végzett hybrid műtéteknél ismert szövődmények az aneurysmazsák további telődése, az ún. endoleak (áteresztés) különböző typusai révén, a dissectio a rögzítési zónáktól proximalisan vagy distalisan, a gerincvelő ischaemia és az embolisatio. Anyagunkban 2 esetben észleltünk az endograft felvezetése során embolisatiot, ami a belfelszín thromboticus, kásás felrakódásából származott. Az egyik esetben minor jobb cerebri media területi átmeneti tüneteket észleltünk, a másik esetben indirect módon occipitalis lebenyt érintő ischemia miatt látászavar keletkezett, ami némi residuummal gyógyult. Cerebralis embolisatio előfordulása ezen beavatkozások során kevéssé vizsgált szövődmény, bár transcranialis Doppler vizsgálattal ezek aránya PAU esetében elérheti a 33 %-ot is, amelyek zöme klinikailag néma marad [19].

12.ábra.
A 10. képen látható elváltozás stentgraft behelyezés utáni kontroll angiogramja.

13.ábra.
PAU a thoraco-abdominalis aortán a visceralis arteriák felett.
Az aorta descendens penetráló fekélye tisztán endovascularis úton is sikerrel kezelhető. Nyitott sebészi beavatkozások száma az endovascularis technikák és graftok folyamatos fejlődésével egyre ritkábban kerül sor, azonban szerepe nem elhanyagolható aorta ruptura, illetve endograft beültetés utáni korai időszakban, vagy szövődmény jelentkezése esetén [2,20].
Az aneurysmazsák telődése (endoleak) az endograft behelyezése után ugyancsak megoldásra váró problémát jelenthet. Típusait 5. Táblázatunk mutatja. Két esetünkben tartósan fennálló aneurysmazsák telődés miatt nyitott műtétet végeztünk. Az endoleak kezelése nyitott mellékágak (II-es típus) okozta esetekben katéter technikával is lehetséges. A nyitva maradt mellékágak ritkán spontán is záródhatnak az anticoagulansok megvonása után. A beavatkozást követően, a késői fázisban is kialakulhat endoleak és az aneurysmazsák feszülését, akár megrepedését is okozhatja, mint azt egyik estünkben észleltük. A graft fal, illetve rögzítési zónák áteresztése (I, III, IV típus) többnyire közvetlenül a beültetés után jelentkezik, kezelése újabb endograft fedéssel lehetséges [21, 22]. Dissectio, illetve gerincvelő károsodás beteganyagunkban nem fordult elő.

14.ábra.
Intraoperatív fotó. Nyitott thoracalis aorto-aorticus graft implantatio. A distalis anastomosis magába foglalja a zsigeri arteriák szájadékát.

5. Táblázat.
Endograft beültetése után jelentkező endoleak (áteresztés) typusok
A penetráló aorta fekély tehát ritka, potenciálisan életveszélyes kórkép. Az acut aorta syndroma kialakulása magas korai és késői halálozással jár, ami meghaladhatja a 45 %-ot [23]. Konzervatív, hypotenzív kezelés csak tünetmentes esetekben, szoros utánkövetés mellett mérlegelendő. A hybrid és endovascularis kezelés jelentősen csökkentette a mortalitást és magas kockázatú betegek esetében is megoldást kínál. A penetráló aorta fekély kezelési nehézségét nemcsak az arteriosclerosis többgócú megjelenése, de gyakorta más kísérő betegségekkel történő társulása is nehezíti. Fontos korai felismerése, melynek segítségével, a mai lehetőségek birtokában, jó eredménnyel kezelhető.
Irodalom
- Krukenberg E: Beitraege zur Frage des Aneurysma dissecans. Beitr Pathol Anat Allg Pathol 1920, 67:329-351
- Nathan DP, Boon W, Lai E, et al.: Presentation, complications and natural history of penetrating atherosclerotic ulcer disease. J Vasc Surg 2012 Jan 55 (1) 10-5
- von Kodolits Y, Nienaber CA: Ulcer of the thoracic aorta: diagnosis, therapy and prognosis Z Kardiol, 1998 Dec 87(12): 917-27
- Coady MA, RizzoJA, Hammond GL, Pierce JG, Kopf GS, Elefteriades JA: Penetrating ulcer of the thoracic aorta-What it is? How do we recognize? How to manage it? J Vasc Surg 1998 (27 June(6) :1006-16
- Dalainas I.: Penetrating Aortic Ulcer of the Abdominal Aorta: An Increasingly Frequent Finding. J Endovasc Ther 2010, 17: 515.516
- Lehman SJ, Abbara S, Cury RC, et al.: Significance of Cardiac Computed Tomography Incidental findings in Acute Chest Pain. Am J Med 2009, 22: 543-9
- Romero J, Shah A, Kornyenko A: A Blind Spot in the Eye of Imaging Technology: Penetrating Atheromtous Ulcer, Hellenic J Cardiol , 2013, 54: 322-325
- Jánosi RA, Erbel R, Konorza TF: Recent advances in the diagnosis of acute aortic syndromes, Expert Opin Med Diagn , 2012 ,6: 529-540
- Zhang G, Feng Q, Zheng D, et al.: Early aggressive medical treatment associated with selective prophylactic aortic stent-grafting for aortic intramural hematoma. 2011 Sep;59(6):342-8. doi: 10.1055/s- 0030-1270761. Epub 2011 Mar 22.
- Akin I, Kische S, Ince H, et al.: Penetrating aortic ulcer, intramutral hematoma, acute aortic syndrome: when to do what. J Cardiovasc Surg (Torino) 2012, 53: 83-90
- Canaud L, Hireche K,Berthet JP, et al.: Endovascular repair of aortic arch lesions in high –risk patients or after previous aortic surgery: midterm results. J Thorac Cardiovasc Surg , 2010 ,140 52-8
- Yuri K, Yamaguchi A, Hori D, et al.:A fenestrated stent graft for endovascular repair of an ascending aortic pseudoaneurysm Ann Vasc Dis. 210 ?3 :228-31
- Ishimaru S.: Endografting of the Aortic Arch. Journal of Endovascular Therapy: 2004, 11, No. SupplementII, pp. II-62-II-71.
- De Rango P, Cao P, Ferrer C, et al.: Aortic arch debranching and thoracic endovascular repair. 2013 Aug 31. pii: S0741-5214(13)01320-7.
- Uchida N, Katayama K, Takahashi S, Sueda T: Total arch repair using supra-aortic debranching technique with banding of the ascending aorta for endovascular stent graft fixation. 2013; 27(3):354.e5-8.
- JA, AH, CG, et al.: Thoracic Aortic Endografting Is the Treatment of Choice for Elderly Patients With Thoracic Aortic Disease,
- Milewski RK, Szeto WY, Pochettino A, et al.: Have hybrid procedures replaced open aortic arch reconstruction in high-risk patients? A comparative study of elective open arch debranching with endovascular stent graft placement and conventional elective open total and distal aortic arch reconstruction. J Thorac Cardiovasc Surg. 2010;140:590–7
- Holt PJ, Johnson C, Hinchliffe RJ, et al.: Outcomes of the endovascular management of aortic arch aneurysm: implications for management of the left subclavian artery. J Vasc Surg. 2010;51:1329–38
- Bismuth J, Garami Z, Anaya-Ayala JE, et al.: Transcranial Doppler findings during thoracic endovascular aortic repair . 2011,54: 364-369
- Szeto WY, Desai ND, Moeller P, et al.: Reintervention for endograft failures after thoracic endovascular repair. 2013 Mar;145(3 Suppl):S165-70
- Aziz A, Menias CO, Sanchez LA, et al.: Outcomes of percutaneous endovascular intervention for II with aneurysm expansion. J Vasc Surg ,2012;55(5):1263-7.
- Ozdemir BA, Chung R, Benson RA, et al.: Embolisation of 2 after endovascular aneurysm repair. J Cardiovasc Surg (Torino) 2013 Aug; 54(4):485-90.
- Patel HJ, Sood V, Wlilliams DM, et al.: Late outcomes with repair of penetrating aortic ulcers: the merits of an endovascular approach. Ann Thorac Surg. 2012 :94: 516-22
Prof. Dr. Dzsinich Csaba
e-mail: Ez az e-mail-cím a szpemrobotok elleni védelem alatt áll. Megtekintéséhez engedélyeznie kell a JavaScript használatát.
Érbetegségek: 2026/2. 41-66. oldal